About us
Council Members
Privacy Policy
Publications
Postgraduate Medical Journal
Health Policy and Technology
Video and Audio files
Speaker videos from the 90th Anniversary Symposium for the Postgraduate Medical Journal
Recordings from the Hippocrates Prize
Speaker videos – 2018 FPM Centenary Conference
News
FPM Blog
Events
Conferences
Hippocrates Prize
Recordings from the Hippocrates Prize
Conference archive
2021: 10th Anniversary Conference Series for the Health Policy and Technology journal
Abstract submission: 2021 Health Policy and Technology at 10 – online Conference Series
HPT at 10: 4. Addressing Geopolitical Challenges to the Price of Medicines. 26 October 2021. 4pm UK time
Biographies – HPT at 10: 4. Addressing Geopolitical Challenges to the Price of Medicines. 26 October 2021
HPT at 10. 3. Equity and Outcomes, Ensuring Fair Access to Healthcare. 28th September 4pm UK time
Biographies: Ensuring fair access to healthcare – 28 Sep 2021
HPT at 10. 2. Artificial Intelligence – Improving Health, from Smart Hospitals to Smart Homes. 24 August 2021
27 July 2021. Health Policy and Technology at 10: Session 1.1. Vaccines, Trusted Information and Fake News
27 July 2021. Health Policy and Technology at 10: Session 1.2. Non-scientific threats to public health policies: nutrition and reducing dietary sodium.
Advances in Healthcare: FPM Osler Centenary Conference – 6th December 2019, Royal College of Physicians, London
Photos of speakers and chairs: FPM-Osler centenary conference – 6 Dec 2019
Photos: Poster sessions and poster awards – FPM-Osler centenary conference 6 Dec 2019
Photos – conference delegates: FPM-Osler centenary conference 6 Dec 2019
Biographies for FPM-Osler Conference Faculty
Poster Abstracts for FPM Osler Centenary Conference: 6th December 2019
Programme: Advances in Healthcare: FPM Osler Centenary Conference – 6th December 2019, Royal College of Physicians, London
FPM Centenary Conference – 7th December 2018 at the Royal College of Physicians
Speaker videos from FPM centenary conference on 7th December 2018
Speaker abstracts – FPM Centenary Conference – 7th December 2018
Photos from FPM Centenary Conference 7.12.18
Films of FPM centenary speakers introducing clinical updates for the 7th December conference at the Royal College of Physicians
Medicine and poetry at the FPM’s centenary conference in London on 7th December 2018
Updates on Asthma and COPD by FPM Centenary Conference speaker Professor Peter Barnes FRS
Poster abstracts – FPM Centenary Conference – 7th December 2018
Biographies for speakers and chairs: FPM Centenary Conference – 7th December 2018
Updates on Ageing and Multi-morbidity by FPM Centenary Conference speaker Professor Thomas Kirkwood
FPM Osler Centenary – Register for the 6th December 2019 Conference
Updates on malaria by FPM Centenary Conference speaker Professor Sanjeev Krishna
Updates on functional neurological disorders by FPM Centenary Conference speaker Dr Tim Nicholson
Updates on reducing the severity of stroke by FPM Centenary Conference speaker Professor Tony Rudd
European Cooperation on Healthcare: one day conference on June 21 2019, Erasmus University, Rotterdam, The Netherlands
Online abstract submission: workshop on 21 June 2019 at Erasmus – European Cooperation on Healthcare
Register for European Cooperation on Healthcare: one day conference on June 21 2019, Erasmus University, Rotterdam, The Netherlands
Online payment for attending European Cooperation on Healthcare: one day conference on June 21 2019, Erasmus University, Rotterdam, The Netherlands
Speaker and chair biographies – 21st June Erasmus conference on European cooperation on healthcare
Health policy for the heart and circulation – 7th December 2017, RIBA
Speaker abstracts: 7th December 2017 Health policy symposium
Programme: Heart and circulation policy symposium at RIBA – 7th December 2017
FPM Symposium on Immunopsychiatry – 2nd November 2015 in London
PMJ 90th anniversary conference – 1st October 2015
FPM President’s Blog
2021 FPM Conference Series on Advances in Medicine
FPM Online Conference Series on Advances in Clinical Medicine: 5. Updates on Chronic Obstructive Pulmonary Disease – 13 December: 4pm UK time
FPM Online Conference Series on Advances in Clinical Medicine: 4. Updates on Cardiovascular Medicine – 22 November: 4pm UK time
Biographies: Updates on Cardiovascular Medicine
FPM Online Conference Series on Advances in Clinical Medicine: 3. Updates on Respiratory Medicine. 25 October 2021. 4pm UK time
FPM Conference Series: 2. FPM International Awards for Medical Writing in Social Media for 2021. 23 August 2021
Judges for the 2021 FPM International Awards for Medical Writing in Social Media
Biographies: 2021 FPM International Awards for Medical Writing in Social Media
2021 FPM International Awards for Medical Writing in Social Media: Instructions for entrants
2020 FPM International Awards for Medical Writing in Social Media
Biographies: 2020 FPM International Awards for Medical Writing in Social Media
Judges for the 2020 FPM International Awards for Medical Writing in Social Media
Home
26 July 2021 4pm UK time. FPM Online Conference Series on Advances in Clinical Medicine: Updates on Prevention and Treatment of Stroke.
FPM Live Webinars: updates on current issues in clinical medicine
FPM Webinar 24 May 2021. Neurological and neuropsychiatric complications of COVID-19
FPM Live Webinar – 30 Nov 2020. Shortlist and winners for 2020 FPM International Awards for Medical Writing in Social Media
FPM Webinar 22 February 2021. New developments in thyroid disease: special causes of abnormal thyroid function tests and thyroid disease and pregnancy.
FPM live webinar – 25 Jan 2021. Health of world leaders: Winston Churchill’s illnesses
FPM Live Webinars 5. What to do about medical burn-out? 27 July 2020
FPM Live Webinar 4. Advances in Treating Asthma: with Professor Peter Barnes, FRS. 29 June 2020
Webinar 3. 22 June 2020. Healthy Life. What to do about hypertension?
FPM Live Webinars 2. What is the value of a diagnostic test during a pandemic? 25 May 2020.
FPM Webinars 1. Diagnostic and digital solutions in response to the SARS-COVID-19 pandemic: 27 April 2020
Video and Audio recordings from the FPM, HPT and PMJ
2022 Webinar series: 22 February – Challenges and opportunities from social media for public health
FPM 2022 Online Conference Series. Advances in Clinical Medicine: Updates on obesity: diagnostics of underlying causes of obesity and novel treatment strategies. 24 January: 4pm UK time
Biographies. FPM Webinar: Updates on obesity – 24th January 2022
Search for:
My Tweets
←
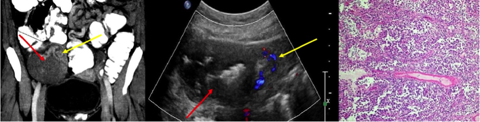
Poster abstracts – FPM Centenary Conference – 7th December 2018
14a
« Previous Image
/
Next Image »
By
fpmedicine
/
November 16, 2018
940 × 240 pixels
/
Leave a comment
Like
Loading...
Leave a comment
Cancel reply
Δ
Subscribe
Subscribed
thefpm.org.uk
Join 30 other subscribers
Sign me up
Already have a WordPress.com account?
Log in now.
thefpm.org.uk
Subscribe
Subscribed
Sign up
Log in
Copy shortlink
Report this content
View post in Reader
Manage subscriptions
Collapse this bar
%d